What We Offer

Comprehensive Radiology Services

From routine imaging to highly specialised fluoroscopic studies — X-MaC delivers precise, timely reporting across every major modality, by subspecialists who know them inside out.

X-MaC team

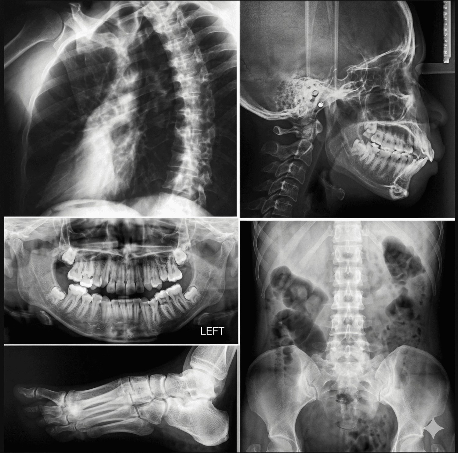
X-Ray

We offer advanced X-ray imaging services, a non-invasive and rapid diagnostic technique that uses low-dose ionizing radiation to visualize internal structures. This modality is highly effective for assessing bones, fractures, infections, and various soft tissue conditions. All examinations are conducted by experienced technologists, ensuring high-quality image acquisition. The resulting images clearly differentiate structures, with dense tissues such as bones appearing white, and softer tissues appearing in varying shades of grey, enabling accurate and reliable diagnosis.

Chest X-ray Bone X-ray Dental X-ray Mammography Abdominal/KUB X-ray

CT Scans

Multi-phase computed tomography reporting across all body systems — trauma, oncology staging, vascular, and emergency protocols. Structured reports with subspecialty correlation and clinical recommendations delivered with industry-leading speed.

Head & Neck Chest Abdomen/Pelvis Spine Angio-CT Trauma
X-MaC team
X-MaC team
🧲

MRI Scans

MRI remains a highly specialized area within teleradiology, with relatively few radiologists possessing advanced expertise in its interpretation. At our institution, MRI studies are reported by highly qualified radiologists trained at leading institutes in India and internationally, each with dedicated subspecialty experience. We provide comprehensive reporting across all major MRI domains, including Neuroradiology, Head and Neck, Musculoskeletal, Thoracic, Abdominopelvic, and Breast imaging, while maintaining consistently high standards of accuracy, quality, and clinical reliability.

Brain & Spine MSK Cardiac MRI Breast MRI MR Angiography Pelvic
⚛️

Nuclear Medicine

We also extend our expertise to Nuclear Medicine, offering comprehensive reporting services for all types of gamma scans and PET scans. From oncological imaging to a wide range of functional studies, our experienced Nuclear Medicine physicians ensure accurate and reliable interpretations. Beyond reporting, their specialized expertise supports optimal scan planning, enabling our centers to maximize diagnostic yield and extract clinically meaningful insights from every study.

PET-CT Bone Scan Thyroid Studies Renal Scintigraphy Cardiac Stress
X-MaC team
X-MaC team
💬

Clinical Discussion

Direct radiologist-to-clinician consultation for complex, ambiguous, or multidisciplinary cases. Real-time telephone and video consultation, MDT meeting participation, and narrative reports with detailed clinical context.

MDT Support Urgent Cases Teaching Cases Tumour Boards
⚙️

Protocol Optimisation

Evidence-based imaging protocol design and refinement to maximise diagnostic yield, minimise radiation dose, and reduce contrast volume. Audit of existing protocols with improvements aligned to current national and international guidelines.

CT Dose Reduction MRI Efficiency Protocol Audit Guideline Alignment
X-MaC team
X-MaC team
📋

Second Opinion Reporting

We also offer expert second-opinion services for radiology scans, providing critical insights in complex or uncertain cases. Our specialist radiologists conduct a thorough, detail-oriented review to address specific clinical concerns with precision. Additionally, our subspecialty-trained team collaborates closely with referring physicians, discussing findings and contributing to patient management through a multidisciplinary approach.

Subspecialty Consultation Multidisciplinary Case Review Accurate Diagnosis Detailed Scan Analysis Expert Clinical Insights
How it Works

Our Services Spectrum

From image upload to final report in your RIS — the X-MaC workflow is designed to be completely frictionless.

1

Send Imaging

Push studies directly to X-MaC via PACS-to-PACS, our web portal, or secure VPN — whichever fits your workflow..

2

Subspecialist Assigned

Your study is matched within minutes to the most appropriate fellowship-trained specialist for that modality and body area.

3

Expert Read

The radiologist performs a thorough, structured read — applying subspecialty knowledge and clinical context throughout.

4

Report Delivered

A structured report is pushed automatically to your RIS in PDF and/or HL7 format within your agreed timeframe.

Special Procedures

Fluoroscopy & Contrast Studies

Our experienced radiologists specialise in reporting the complete range of fluoroscopic and contrast-enhanced examinations — including studies that many teleradiology providers decline.

01

Barium Swallow

Dynamic assessment of swallowing function, oesophageal motility, and structural abnormalities including strictures, webs, diverticula, and gastro-oesophageal reflux. Cine loop review available.

02

Barium Enema

Detailed evaluation of the large bowel including mucosal pattern, haustra, strictures, diverticula, and polyp detection — reported in single or double contrast technique.

03

Barium Meal

Assessment of the stomach and proximal small bowel including gastric motility, ulceration, mucosal fold patterns, pyloric function, and hiatus hernia evaluation.

04

X-ray Cinogram

Dynamic fluoroscopic studies with cine acquisition — capturing real-time functional information for swallowing assessment, voiding cystourethrogram, and joint movement studies.

05

X-ray IVP / KUB

Intravenous pyelography and kidney-ureter-bladder plain films for urinary tract evaluation — including nephrolithiasis, ureteric obstruction, and anatomical variants of the collecting system.

06

Sinography

Contrast opacification of sinus tracts, cutaneous fistulae, and post-surgical wound tracks to delineate anatomy, extent, and communication with adjacent structures or body cavities.

Expert Consultation

Expert Second Opinion Reporting

When the diagnosis carries significant clinical consequences — a suspected malignancy, a complex neurological finding, or an ambiguous post-treatment scan — trust X-MaC's subspecialty radiologists for an authoritative, independent second read.

Neuroradiology Musculoskeletal Oncology Imaging Chest & Cardiac Paediatric Abdominal
Request a Second Opinion
🔍
Completely Independent

Reported without access to the original report — no anchoring bias, no assumptions. Just a clean, subspecialty-driven read.

📋
Structured Report

Full narrative with findings, differential diagnoses, clinical correlation, and clear management recommendations.

Priority Turnaround

Second opinion reports delivered within 4 hours for urgent cases. Standard delivery within 24 hours.

💬
Clinician Consultation

Direct telephone or video discussion with the reporting radiologist available for particularly complex cases.